Appliances
M.A.R.A Appliance
M.A.R.A. (Mandibular Anterior Repositioning Appliance), a specialized orthodontic device designed to address jaw discrepancies and promote balanced jaw development, gently guides the lower jaw forward to help improve bite alignment. With our experienced orthodontic team, we'll customize the M.A.R.A. appliance to fit your child's unique needs.

TMJ Appliance
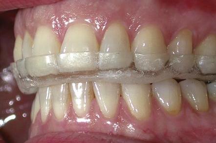
An occlusal splint, also known as a bite guard or dental orthotic, is a removable appliance that fits over the teeth and protects them from damage caused by grinding (bruxism) or clenching. An occlusal splint acts as a buffer between the teeth, preventing them from grinding or clenching against each other. It also helps to distribute forces evenly across the jaw, reducing stress on the TMJ. Occlusal splints are a valuable treatment option for individuals who grind or clench their teeth. They can effectively protect teeth, help reduce pain, and help improve jaw function.
Purpose:
- Protect teeth: Prevent wear and tear from bruxism or clenching.
- Reduce pain: Help alleviate pain and discomfort associated with some types of temporomandibular joint (TMJ) disorders.
Usage:
- The splint is usually worn at night, during sleep, or when grinding or clenching occurs.
- It should be cleaned regularly with soap and water or a denture cleaner.
- The dentist will adjust the splint as needed to ensure it is properly fitting and effective.
Benefits:
Reduced tooth wear, Reduced pain and discomfort, and Improved sleep quality (in some cases).

Schwartz Appliance
A Schwartz appliance is a removable orthodontic device that expands the upper or lower jaw to make room for permanent teeth. It's made of acrylic and metal, and fits in the roof of the mouth.


Space Maintainer
A space maintainer is an orthodontic device that keeps space open for permanent teeth to grow in after baby teeth fall out. Space maintainers are also known as dental spacers.

Anterior Bite Plate
An anterior bite plate is a dental appliance designed to specifically adjust the bite by primarily focusing on the front teeth, often used to treat a deep overbite by preventing the upper front teeth from excessively overlapping the lower front teeth, allowing the back teeth to erupt properly while holding the anterior teeth in position; it can also be used to help correct crossbites in the front of the mouth. These can be removable or cemented in.

Hyrax
A Hyrax appliance, also known as a rapid palatal expander (RPE), widens the upper jaw. It's used to treat orthodontic issues like crowded teeth or a narrow palate.




