Phase 1 Treatment
Phase one treatment, also known as early interceptive orthodontics, is a type of orthodontic treatment designed for children between the ages of 6 and 10, during the mixed dentition phase, when patients begin to lose their baby teeth. It aims to address early orthodontic problems and lay the foundation for optimal oral health in adulthood.
Phase one treatment typically involve a combination of appliances, such as:
- Space maintainers: To prevent gaps or crowding of teeth
- Expanders: To widen the jaw
- Partial braces: To align specific teeth
Benefits:
- Early intervention can prevent more complex orthodontic problems later on.
- Reduces the need for major orthodontic surgery in adulthood.
- Improves self-esteem and confidence.
- Promotes proper jaw development and function.
In conclusion, phase one treatment is an early orthodontic intervention that can significantly improve a child's oral health and future orthodontic outcomes. It's essential to consider this option if your child exhibits any early signs of orthodontic problems. Not all children need Phase 1 treatment. In which case the children will then be observed for the need for further Phase 2 orthodontic treatment in the futrure as they grow and develop.
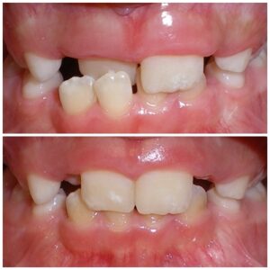
Phase 1 - Before and After




