Phase 2/Active Treatment
Phase 2 or Active treatment is the active phase of orthodontic treatment that involves braces & wires or aligners to move teeth into the correct position. This stage of treatment usually begins after all or most permanent teeth have erupted.
Braces
Dental braces are more than just a treatment; they pave the way to a healthy, confident smile.
Recommended by orthodontic specialists, braces can correct various issues, from crooked and crowded teeth to jaw alignment and bite problems. The advantages go beyond aesthetics, including enhancing oral hygiene, improving speech, and making eating more comfortable.
Modern technology has improved braces, offering better comfort, aesthetic appeal, and shorter treatment durations. However, at their core, the features that make braces such an effective orthodontic treatment remain the same. Successful treatment with braces requires time and cooperation. Dr. Paterno can combine all of these factors to create the right treatment plan for each patient, tailored to their needs.
Braces are an investment in oral health; proper care ensures you get the most out of your treatment. Here are some maintenance tips:
Daily Cleaning: Use a soft-bristled toothbrush manual or electric and toothpaste. A water flosser, proxy brushes, and many other products can help clean hard-to-reach areas.
Foods to Avoid: Hard and sticky foods can damage your braces. Choose softer foods and cut fruits and vegetables into smaller pieces.
Emergencies: Contact your orthodontist immediately for guidance for a broken wire or bracket. Keep orthodontic wax handy to cover any sharp edges temporarily.
Regular Check-ups: Never skip your scheduled appointments for adjustments with us and check ups and cleanings with your general or pediatric dentist.
|
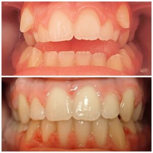
Braces - Before and After
|
|
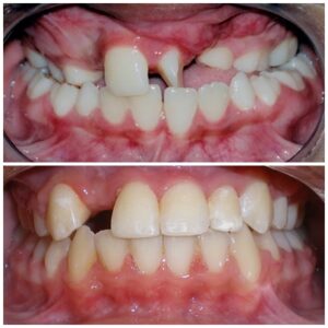
Cleft Palate - Before and After
|





